Le Crioglobuline
1
2
3
4
5
6
7
8
9
10
11
12
13
14
15
16
17
18
19
20
21
22
23
24
25
26
27
28
29
30
31
32
33
34
35
36
37
38
39
40
41
42
43
44
45
46
47
48
49
50
51
52
53
54
55
56
57
58
59
60
61
62
LE CRIOGLOBULINE
Crioglobulinemia: definizione
· Presenza nel siero (e nel plasma) di proteine (Ig) che precipitano a bassa temperatura e “solubilizzano” a 37°C
· Incidenza aumenta se età > 60 anni
· Classificazione basata sulle caratteristiche delle Ig
Le CRIOGLOBULINE
· Le crioglobuline sono un fenomeno di laboratorio, indotto artificialmente.
· Infatti si tratta di proteine del siero che precipitano o gelificano reversibilmente, a temperatura inferiore ai 37° C, anche a concentrazioni al di sotto di 0,1 mg/dl.
· Fin dalle prime osservazioni è stato dimostrato che le crioglobuline sono costituite prevalentemente da immunoglobuline.
Storia delle crioglobuline
La prima osservazione clinica del fenomeno risale al 1933, da parte di Wintrobe e Buell che lo osservarono in un paziente affetto da mieloma multiplo.
Storia delle crioglobuline
· Per alcuni anni continuarono le segnalazioni del fenomeno sempre associato a casi di mieloma multiplo o malattie linfoproliferative, tanto da confinare le crioglobuline alla sola area di interesse ematologico.
· Lerner e Watson nel 1947 dimostrarono la reversibilità del fenomeno e per la prima volta diedero la definizione di crioglobuline, dimostrandole in pazienti con diverse patologie.
Storia delle crioglobuline
Nel 1966 Metzler e Franklin definirono le crioglobulinemie miste in uno studio su 29 casi, di cui 12 presentavano IgM e IgG e L’IgM dimostrava attività di fattore reumatoide ( FR).
In 9 dei casi di crioglobulinemia mista si aveva una sintomatologia caratterizzata da porpora, astenia e artralgia e in 4 una insufficienza renale.
Storia delle Crioglobuline
Brouet e Al. nel 1974 caratterizzarono con immunoelettroforesi tre pattern immunochimici diversi nelle crioglobuline che classificò:
Tipo I - Componente monoclonale Ig
Tipo II - Componente policlonale Ig + Componente monoclonale Ig
Tipo III - Due o anche tre componenti policlonali Ig
Sommario
1) La prima osservazione clinica del fenomeno risale al 1933, da parte di Wintrobe e Buell che lo osservarono in un paziente affetto da mieloma multiplo.
2) Lerner e Watson nel 1947 dimostrarono la reversibilità del fenomeno e per la prima volta diedero la definizione di crioglobuline, dimostrandole in pazienti con diverse patologie.
3) Nel 1966 Metzler e Franklin definirono le crioglobulinemie miste in uno studio su 29 casi, di cui 12 presentavano IgM e IgG e L’IgM dimostrava attività di fattore reumatoide (FR).
4) Brouet e Al. nel 1974 classificò le crioglobuline:
Tipo I - Componente monoclonale Ig
Tipo II - Componente policlonale Ig + Componente monoclonale Ig
Tipo III - Due o anche tre componenti policlonali Ig
CLASSIFICAZIONE 2
1) Musset L, Diemert MC, Taibi F, et al. Characterization of cryoglobulins by immunoblotting. Clin Chem 1992; 38: 798-802.
2) Tissot JD, Schifferli JA, Hochstresser DF et al. Two-dimensional polyacrylamide gel electrophoresis analysis of cryoglobulins and identification of an IgM - associated peptide. J Immunol Meth 1994; 173: 63-75.
Nuova Classificazione secondo Pontet.
Dividere le crioglobuline di Tipo II in due sottotipi:
· IIa presenza di una Ig monoclonale + Ig policlonali
· IIb presenza di più Ig monoclonali + Ig policlonali
Pontet F, Halimi C, Brocarde A. and Delacour T. Biclonal immunoglobuin M dysglobulinaemia: evolving aspects in a case of primary Sjogren syndrome. Eur J Clin Chem Clin Biochem 1997: 35 (4): 287-90
Una nuova classificazione in base ai pattern immunochimici
· Type I: They consist of monoclonal immunoglobulins.
· Type III: Mixed polyclonal cryoglobulins. They customarily consist of polyclonal IgM that has anti-IgG activity (rheumatoid factor) and are associated with circulating immunocomplexes. They are often found in hepatitis C.
· Type IIa: Mixed cryoglobulins with a monoclonal component and polyclonal Ig. They consist of immunoglobulins that belong to two different classes, one of which is monoclonal. Monoclonal IgM cryoglobulins and polyclonal IgG cryoglobulins are the most common. IgM thus has a rheumatoid factor activity by reacting with the Fc fragment of the IgG.
· Type IIb: Mixed cryoglobulins consisting of oligoclonal Ig and polyclonal Ig. Although this profile is observed predominantly among patients with hepatitis C, it also appears following kidney transplants, in non-Hodgkin’s lymphoma, and in AIDS. It may involve an intermediate state that can evolve toward Type III or Type IIa;
Le Carrer D, Cryoglobulinemies: proposition d’un protocole d’exploration biologique. Actualisation de leur classification – Feuillets biol. 39/221,62, 1998
Quale classificazione Tassonomica?
Aggiornare in modo “convulsivo” La classificazione
con nuovi pattern immunochimici ?
1) la classificazione diventa di difficile interpretazione e conosciuta a pochi “eletti”
2) Difficoltà di comunicazione tra clinica e laboratorio
Affidarsi alla classificazione di Brouet
Integrare i nuovi pattern immunochimici nelle tre classi in base
alle manifestazioni cliniche comuni tra vecchi e nuovi quadri ispettivi
Nuova Classificazione Brouet modificata
TIPO I
Ig monoclonali
Tipo II
una o più Ig Monoclonali + Ig policlonale
TipoIII
Due o più Ig policlonali
Due o più bande oligoclonali Ig.
Passerini G.,Basile U. Biochim Clin 2010 N°3 218-222
Crioglobulinemia: classificazione
Si distinguono quindi 3 sottogruppi di Crioglobuline associati con un ampio spettro di malattie ematologiche, autoimmuni, infezioni croniche ed in particolare con l’epatite da virus “C”
CRIOGLOBULINEMIA di TIPO I
- La Crioglobulinemia di tipo I è la meno frequente fra le varie Crioglobulinemie ( 5-10% dei casi) ed è costituita essenzialmente da Ig monoclonali (di solito IgM o IgG) che mostrano raramente attività di fattore reumatoide (FR), cioè attività anticorpale nei confronti di altre immunoglobuline
- La si riscontra in genere nel Mieloma Multiplo, nella Malattia di Waldestrom, nelle MGUS e nei disordini linfoproliferativi.
CRIOGLOBULINEMIA MISTA di TIPO II e di TIPO III
· Costituisce più dell’80% di tutte le crioglobulinemie
· E’ detta così perché costituita da 2 diverse Immunoglobuline
· Compare in corso di malattie infettive o autoimmuni o rappresenta un’entità distinta non associata a fattori causali evidenti (Crioglobulinemia Mista Essenziale, CME)
· Tuttavia questo termine non sembra più appropriato dopo il riscontro dell’HCV in oltre il 90% dei pazienti con CME
Crioprecipitazione: fattori intrinseci
· Modifiche strutturali della porzione variabile delle catene pesanti e leggere delle Ig.
· Ridotta concentrazione di residui di acido sialico e di glucosammine.
· Ridotta concentrazione di galattosio nella porzione Fc delle Ig responsabile di interazioni aspecifiche Fc-Fc.
Crioprecipitazione: fattori intrinseci
· Modifiche conformazionali delle Ig conseguenti a variazioni di temperatura comportano una riduzione di polarità e di solubilità.
· Aumentata concentrazione proteica favorisce l’aggregazione.
· pH ottimale per la precipitazione prossimo al punto isoelettrico (5.5-8).
· Forza ionica e presenza di calcio, bario e manganese.
Crioglobulinemia: il fenomeno della crioprecipitazione
· I meccanismi della crioprecipitazione non sono ancora chiaramente definiti.
· Nella crioglobulinemia di tipo I, la crioprecipitazione sembra essere una caratteristica intrinseca delle immunoglobuline monoclonali, strettamente legata all'integrità della loro struttura quaternaria, (poiché i frammenti Fc e Fab separati perdono solitamente la precipitabilità alle basse temperature).
· Il processo di crioprecipitazione potrebbe essere innescato da modificazioni della composizione aminoacidica o del contenuto in carboidrati delle catene leggere e pesanti delle immunoglobuline. Ne deriverebbe un complessivo aumento della idrofobicità delle molecole con perdita della loro solubilità
Crioglobulinemia: il fenomeno della crioprecipitazione
- I meccanismi della crioprecipitazione non sono ancora chiaramente definiti.
Nella crioglobulinemia di tipo II e III
- La crioprecipitazione appare legata più all'interazione fra immunoglobuline che alle caratteristiche delle singole componenti immunoglobuliniche.
- Nelle crioglobulinemie miste IgG-IgM è l'IgM anti-IgG la specifica componente che determina la crioprecipitazione.
Crioglobulinemia mista:
Malattia da immunocomplessi
- Le CM sono degli immunocomplessi, in cui l'antigene è una IgG o una IgM e l'anticorpo una IgM, mono o policlonale o una IgG3, con attività di FR (cioè anti-Ig).
- Si sviluppa in tal modo una malattia da immunocomplessi, istologicamente caratterizzata da lesioni infiammatorie dei vasi coinvolti e da depositi immuni negli organi bersaglio aventi la stessa composizione del crioprecipitato sierico.
Modelli di transizioni strutturali
Aggregazione
Network
Sol/Gel
EPIDEMIOLOGIA
Malattia rara? Probabilmente NO
La loro vera prevalenza rimane ignota:
· Studi epidemiologici non adeguati
· Manifestazioni cliniche assenti o aspecifiche o imputabili alla patologia di base interesse plurispecialistico
reumatologo
neurologo
dermatologo
epatologo
patologo clinico
nefrologo
POSSIBILE APPROCCIO PER LA CLASSIFICAZIONE
DELLA SINDROME DA CRIOGLOBULINEMIA
· criocrito > 1% per almeno 6 mesi
due dei seguenti sintomi : porpora,astenia,artralgie
C4 < 8 mg%
FR positivo nel siero (va distinto se mono o policlonale)
· Secondaria se associata con : connettivopatie, epatopatie croniche, malattie linfoproliferative, infezioni. Senza una di queste condizioni va definita come apparentemente essenziale.
· Valutazione dell’estensione del processo vasculitico : coinvolgimento epatico, renale, neuropatie periferiche.
· Identificazione di noduli simil microlinfoma nelle biopsie del midollo osseo.
· Le componenti crioglobuliniche si depositano nelle lesioni vasculitiche a sede cutanea e renale. Le cause precise di questi depositi e del danno vascolare non sono state a tutt’oggi individuate.
Etiopatogenesi : punti di riflessione
Inizialmente la Crioglobulinemia Mista è stata classificata fra le vasculiti sistemiche (pattern istopatologico: vasculite leucocitoclastica), nel sottogruppo delle vasculiti dei piccoli vasi (arteriole, capillari e venule), che include anche la vasculite cutanea leucocitoclastica e la porpora di Schonlein-Henoch
(Meltzer M, Franklin EC, et al. Am J Med 1966)
Etiopatogenesi : punti di riflessione
- Osservazioni clinico-patologiche sulla sindrome crioglobulinemica
- Elevata prevalenza di epatopatia
- Scoperta del virus C dell’epatite (HCV) nel 1989
- Associazione con malattie autoimmuni organo-e non-organo-specifiche
- Associazione con malattie linfoproliferative+neoplasie maligne
Etiopatogenesi : punti di riflessione
1. Scoperta dell’HCV come agente principale delle ‘epatiti nonA/nonB’. La ricerca degli
anticorpi anti-HCV con kit di prima generazione evidenzia una positività del 30-50% di
pazienti crioglobulinemici
2. Dimostrazione definitiva in 42 pazienti con CM dell’infezione da HCV (ricerca di HCV RNA con tecnica PCR) nell’86% dei soggetti
(Ferri C et Al, Association between hepatitis C virus and mixed cryoglobulinemia. Clin Exp Rheumatol 1991)
3. In seguito alla scoperta della stretta associazione fra CM ed HCV e delle
caratteristiche biologiche quali epato- e linfotropismo dell’HCV (Zignego AL et al. J Hepatol 1992) è possibile formulare le seguenti ipotesi patogenetiche :
- Crioglobulinemia come modello di vasculite sistemica da ICC;
- Crioglobulinemia espressione clinica di un sottostante processo linfoproliferativo ‘benigno’.
- Virus dell’Epatite C come fattore determinante della malattia essendo coinvolto sia negli ICC (Agnello V. et al. N Engl J Med 1992) e sia nell’innesco della proliferazione B-linfocitaria.
Etiopatogenesi : punti di riflessione
Produzione di crioglobuline conseguente ad una stimolazione cronica del sistema immunitario da parte del virus C.
I. Interazione tra proteina del virus E2 e CD81 presente sui linfociti
II. CD81 è una proteina di superficie che sulle cellule B è complessata con altre molecole (CD21 – CD19 – Leu13)
III. Amplificazione della stimolazione policlonale fisiologica del compartimento B cellulare indotto dall’infezione HCV
IV. In un significativo numero di casi con infezione HCV, si osserva una traslocazione
t(14;18) e/o riarrangiamento di bcl2 inibizione dell’apoptosi prolungamento della sopravvivenza cellulare…
Etiopatogenesi : punti di riflessione
Il virus dell’HCV è un virus epato e linfotropo e può esercitare un’azione oncogenica in due direzioni diverse: l’epatocarcinoma ed il linfoma a cellule B
Crioglobuline e HCV
- Le crioglobulinemie HCV-relate, sono correlate a manifestazioni cliniche proprie che Meltzer e Franklin individuarono nella triade porpora, artralgia e astenia, ma che coinvolgono in varia misura altri organi ed apparati.
- Sono presenti in correlazione a HCV-Ab (maggiore prevalenza nel Tipo II).
- Il virus è patogeneticamente coinvolto, essendo stato ritrovato come RNA nel crioprecipitato.
Ferri C et al. REVIEW Cryoglobulins. Journal of Clinical Pathology 2002;55:4-13
Manifestazioni extraepatiche delle epatiti
CRITERI CLASSIFICATIVI
Diagnosi di certezza: 3 criteri maggiori oppure 1 criterio sierologico maggiore + 2 minori clinici + 2 minori istologici /sierologici
Diagnosi di probabilità:
- 1 criterio sierologico maggiore + 1 clinico minore + 1 minore sierologico o istologico
- porpora o vasculite leucocitoclastica + 1 sintomo clinico minore +1 minore sierologico o istologico
- 2 clinici minori + 2 sierologici minori o istologici
Manifestazioni cliniche
· Le manifestazioni cliniche spesso associata ad infezione da HCV sono incostanti
· Circa il 50% delle crioglobulinemie monoclonali ed il 15% delle miste sono asintomatiche.
I sintomi più comuni delle crioglobulinemie monoclonali includono:
Fenomeno di Raynaud (40%)
Acrocianosi (15%)
Porpora vascolare (15%)
Orticaria a frigore (15%)
Ulcere sopramalleolari e livedo reticularis (1%)
Triade: Porpora - Astenia - Artralgia
Ricerca delle crioglobuline
In sé l’esame è semplicissimo, ma è complicato negli aspetti:
- Preanalitici
- di quantificazione e caratterizzazione
Criticità preanalitiche
Volume di siero
Criticità analitiche
Tempo di osservazione
Standardizzazione misura criocrito
Criticità postanalitiche
Riferimento tassonomico
La richiesta delle Crioglobuline è corretta?
In genere, questo esame è richiesto appropriatamente, anche se spesso non viene considerato in contesti clinici in cui potrebbe essere utile sia alla diagnosi che all’inquadramento prognostico del paziente
Quando andrebbe richiesta la ricerca delle Crioglobuline?
1. Sogg. con Componente Monoclonale
2. S. di Raynaud e intolleranza/dolore alle basse temperature delle estremità
3. Sogg. sintomatici con triade di Meltzer
4. In presenza di vasculiti sistemiche, malattie linfoproliferative, autoimmuni, virali (HCV)
Quando andrebbe richiesta la ricerca delle Crioglobuline?
1. Porpora, Orticaria, Ulcere
2. Insufficienza renale, neuropatie
3. In presenza di diminuzione di C4 e aumento di RF
4. Anomalie di altri esami di laboratorio suggestive di interferenze
5. Reperto occasionale di crioglobuline
Interferenza delle Crioglobuline su alcuni esami di laboratorio
The presence of cryoglobulins in the blood can create a clinical challenge for the interpretation of several laboratory tests
· EMOCROMO
· VES
· ELETTROFORESI SIEROPROTEICA
· DIAGNOSTICA HCV (Ab e RNA)
INDAGINI DI LABORATORIO
Appropriatezza della richiesta
Le crioglobuline vanno ricercate solo in pazienti con sintomi clinici o dati di laboratorio suggestivi di patologie associate
Kallemuchikkal & Gorevic, Arch Pathol Lab Med 1999, 123:119-25
Keren et al, Guidelines for Monoclonal Gammopathies - Guideline 8 - Arch Pathol Lab Med 1999, 123:106-7
FASE PREANALITICA
Prelievo
Preparazione - Provette - Temperatura - Volume
Trasporto
Temperatura - Coagulazione - Centrifugazione - Conservanti
FASE ANALITICA
Incubazione
Volume siero - Temperatura - Tempo
Quantificazione
Misura CRG - Verifica a 37°C - Altre determinazioni
Caratterizzazione
Lavaggi - Tipizzazione
FASE POSTANALITICA
Refertazione
Ricerca - Classificazione - Valori di riferimento
RICERCA DI CRIOGLOBULINE
Modalità di prelievo
· Almeno 10 mL di sangue posto immediatamente a 37°C
· Lasciar coagulare il sangue a 37°C per almeno 30’
· Centrifugare per 10’ a 2500 rpm a 37°C
· Separare immediatamente il siero in tubo di Wintrobe e incubare a 4°C
Kallemuchikkal & Gorevic, Arch Pathol Lab Med 1999, 123:119-25
Keren et al, Guidelines for Monoclonal Gammopathies - Guideline 8 - Arch Pathol Lab Med 1999, 123:106-7
Modalità di prelievo
· Per la ricerca delle crioglobuline sieriche é importante rispettare la procedura che prevede uso di materiale per prelievo e raccolta del sangue preventivamente riscaldato a 37°C con trasporto in laboratorio in vasca termostata alla stessa temperatura.
· E’ sconsigliato l’uso di provette con gel separatore per il rischio di un eventuale rilascio di sostanze interferenti durante l’incubazione a 37 °C.
· Qualora non siano disponibili provette senza gel separatore e opportuno richiedere al fornitore informazioni specifiche sulle caratteristiche del gel utilizzato.
Passerini G.,Basile U. per il gruppo di studio SIBIOC proteine
Ricerca, quantificazione e caratterizzazione delle crioglobuline: indicazioni per un protocollo condiviso
Biochim Clin 2010 N°3 218-22
Valutazione del crioprecipitato
Incubazione a 4°C per almeno 7 giorni
· Osservare l’eventuale presenza di precipitati flocculati o gel
· Verificare la reversibilità della crioprecipitazione
· Escludere la presenza di complessi fibrina-fibrinogeno o eparina-fibronectina
Kallemuchikkal & Gorevic, Arch Pathol Lab Med 1999, 123:119-25
Keren et al, Guidelines for Monoclonal Gammopathies - Guideline 8 - Arch Pathol Lab Med 1999, 123:106-7
Quantificazione del crioprecipitato
CRIOCRITO – Rapporto percentuale tra volume di crioprecipitato e volume di siero dopo centrifugazione a 1700 rpm per 15’ a 4°C
E‘ il parametro considerato gold standard dai clinici per il follow up, nonostante sia poco accurato e poco specifico.
Non è utile per un confronto tra diversi pazienti o per valutare l'attività delle patologie associate.
Kallemuchikkal & Gorevic, Arch Pathol Lab Med 1999, 123:119-25
Shihabi ZK. Ann Clin Lab Sci 2006;36:395-408
Quantificazione
PROTEINE TOTALI
Metodi
· Spettrofotometria a 280 nm
· Colorimetria (Folin o Bradford o pirogallolo)
Preparazione del crioprecipitato
3-6 lavaggi a freddo con PBS o soluzione fisiologica
Risolubilizzazione delle CRG con NaOH 0.1 mmol/L o acido acetico 0.1 mol/L o mediante incubazione a 37°C
I metodi sono scarsamente standardizzati (valore di normalità ≅20 µg/mL)
Brouet JC, et al. Am J Med 1974.57: 775-88.
Musset L, et al. Clin Chem 1992; 38: 798-802.
Kallemuchikkal & Gorevic, Arch Pathol Lab Med 1999, 123:119-25
Quantificazione
IgG, IgA, IgM
La misura viene eseguita in nefelometria su siero nativo incubato a 37°C
e su siero surnatante dopo crioprecipitazione
ELETTROFORESI
Si esegue su crioprecipitato risospeso a 37°C per valutare l'incremento
del rapporto ·-globuline/albumina nel crioprecipitato rispetto al siero nativo.
Kallemuchikkal & Gorevic, Arch Pathol Lab Med 1999, 123:119-25
Metodi rapidi di screening
Spettrofotometria a 350 nm
Incubando a 10°C un campione di siero è possibile misurare la cinetica di aggregazione delle CRG.
Il test richiede pochi minuti non giorni come le metodiche convenzionali che studiano la crioprecipitazione.
La procedura è in validazione pertanto attualmente non è utilizzabile in routine.
E. Di Stasio et al. “Analysis of the dynamics of cryoaggregation by light-scattering spectrometry” Clin Chem Lab Med 2003;41:153-58
Lavaggio delle CRG
2 cicli di lavaggio non eliminano completamente le sieroproteine contaminanti
Caratterizzazione del crioprecipitato
Lavaggio delle CRG
· Utilizzare soluzioni di lavaggio mantenute a 4°C (fisiologica o tampone fosfato o PBS con PEG 6000 al 3%)
· Dissolvere le CRG per agitazione
· Centrifugare a 2000 rpm per 15 minuti a 4°C
· Ripetere almeno 3 cicli di lavaggio
Brouet JC, et al. Am J Med 1974.57: 775-88
Musset L, et al. Clin Chem 1992; 38: 798-802
Shihabi ZK. Ann Clin Lab Sci 2006;36:395-408
Caratterizzazione del crioprecipitato
Dissoluzione delle CRG
· Incubare a 37°C fino a completa solubilizzazione
· Trattare eventualmente con soluzioni riducenti acetilcisteina al 10% - β-mercaptoetanolo al 1% - ditiotrietolo 0.5M
Caratterizzazione del crioprecipitato
Tipizzazione delle CRG
· Immunonofissazione su gel d'agarosio (gold standard)
· Immunosottrazione in elettroforesi capillare
· Immunoblotting
· Elettroforesi bidimensionale in gel di poliacrilamide
La IFE è considerata la tecnica di riferimento per la ricerca qualitativa di CM su siero e urine.
Si realizza combinando due tipi di tecniche:
Elettroforesi e Immunoprecipitazione nel supporto
Le fasi operative schematizzate sono:
Separazione elettroforetica
Immunoprecipitazione
Allontanamento delle proteine non precipitate
Colorazione
L’immunoprecipitazione se correttamente eseguita, amplifica notevolmente il contenuto proteico di una frazione.
Pertanto a parità di colorante si possono rendere visibili frazioni non rilevabili con l’elettroforesi.
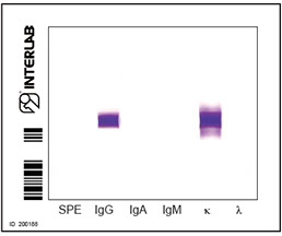
Tipizzazione delle CRG
Immunonofissazione su gel d'agarosio ad alta risoluzione
Tipo II
CM IgMκ - IgG policlonali
Classificazione di Brouet
criocrito 10.0% Tipo I
CM IgG K
criocrito 50% Tipo II
CM IgMκ-IgG policlonali
criocrito <1.0Tipo III
IgM policlonali
Crioglobulinemie microeterogenee
criocrito <1.0Tipo III
IgM oligo/policlonali
Refertazione
CRIOGLOBULINE
Analisi addizionali
· Complemento
C3 basso o indeterminabile
C4 normale o diminuito
· Fattore reumatoide
· Anticorpi anti-HCV
· HCV RNA quantitativo
Kallemuchikkal & Gorevic, Arch Pathol Lab Med 1999, 123:119-25
CONCLUSIONI
· La ricerca delle Crioglobuline riveste notevole importanza
· E’ un esame che risulta sottoutilizzato e mal utilizzato: occorrono procedure standardizzate
· Diversi aspetti patogenetici, clinici, terapeutici e laboratoristici devono essere ancora chiariti
<
>